ACCUEIL
L'EQUIPE
LE CABINET
ACCÈS
1ÈRE CONSULTATION
NOS VALEURS
TRAITEMENTS
L'implantologie
La parodontie
ASEPSIE
FICHES CONSEILS
L'équipement du cabinet dentaire
Les dents et la santé
Prendre soin des dents
Les pathologies bucco-dentaires
Les implants
Les prothèses
Les gencives
Parodontie
VOIR NOS VIDEOS
ACCUEIL
L'EQUIPE
LE CABINET
ACCÈS
1ÈRE CONSULTATION
NOS VALEURS
TRAITEMENTS
L'implantologie
La parodontie
ASEPSIE
FICHES CONSEILS
L'équipement du cabinet dentaire
Les dents et la santé
Prendre soin des dents
Les pathologies bucco-dentaires
Les implants
Les prothèses
Les gencives
Parodontie
VOIR NOS VIDEOS
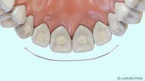
Fil de contention
Vidéos 3D
L'orthodontie
Précédent
Les bridges et ponts dentaires
Suivant
Conséquence de la perte des dents postérieures
Articles similaires
Traitement multi-attaches
Vidéos 3D
La chirurgie orthognatique – correction de l’asymétrie faciale
Vidéos 3D
La chirurgie orthognatique – correction de béance antérieure
Vidéos 3D
Les élastiques de classes ii et iii
Vidéos 3D
Partager
Twitter
Partager
Partager
Envoyer
Copier
Politique de confidentialité et charte cookie
Mentions légales
Conditions Générales Utilisation
Charte déontologique
Ordre national
Annuaires chirurgiens dentistes
Honoraire & Remboursement
Rechercher
Création par
Connexion